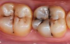
چه مواد غذایی و چه نوشیدنی هایی برای دندان های ما مضر هستند
پزشکی و سلامت › دهان و دندان
- 97/10/19
سیب موجب شکسته شدن دندان می شود
آیا چند وقتی است که دندانتان ترک خورده و درد می کند؟ سعی کنید میوه ها و سبزیجات ترد و سفت که باعث بیشتر شکستن آنها می شود را مصرف نکنید. به طور مثال، سیب و هویج دو متهم ردیف اول برای دندان های ترک دار هستند. البته منظور این نیست این محصولات مفید را از برنامه غذایی خود حذف کنید. فقط کافیست آنها را به اندازه های قابل جویدن و کوچک خورد کنید و از خوردن آنها لذت ببرید.
پاستا آسیب مینای دندان
مینای دندان به شدت در برابر رنگ های تیره آسیب پذیر است. به طور مثال، باید به رنگ قرمز سس پاستا و مایع ماکارونی اشاره کرد. میناهای منفذدار به راحتی این رنگ ها را به خود جذب و لکه های نازیبا ایجاد می کنند. بعلاوه، اسید موجود در گوجه فرنگی باعث ایجاد منافذ در دندان می شود. برای برطرف کردن این مشکل بهتر است بلافاصله پس از خوردن پاستا و ماکارونی آب را در دهان خود قرقره کنید تا سس روی دندان ها نماند.
آب نبات های سفت مضر برای دندان
مک زدن آب نبات در دهان شاید خیلی مضر به نظر نرسد اما این نوع خوراکی ها باعث می شوند شکرهای موجود در آنها برای مدت طولانی در دهان باقی بماند. جویدن آنها نیز ممکن است منجر به شکستن یا ترک خوردن دندان های سالم، پر کرده یا پانسمان شده بشوند.
بلال موجب ترک و شکسته شدن دندان می شود
متاسفانه باید یکی از لذت های شب های تابستان خود را که گاز زدن بلال کبابی است فراموش کنیم. دندانپزشک ها تاکید می کنند گاز زدن بلال (کبابی، آب پز یا بخارپز) موجب ترک خوردن یا شکستن دندان های سالم، پر کرده یا پانسمان شده، ارتودنسی، سیم یا براکت ها می شود. برای لذت بردن از طعم خوب بلال می توانید دانه های آن را از بدنه جدا کنید و با قاشق (همچون ذرت مکزیکی) میل کنید.
نوشابه (حتی رژیمی) آسیب دندان
نوشابه های شیرین و دلخواه شما، خرابکارهای خندانی هستند که زیرکانه به دندان های شما آسیب می رسانند. بیشتر سوداها و نوشابه ها شامل اسید هستند که مینای دندان را از بین می برد. برای از بین بردن این اشکال، طوری نوشابه را سر بکشید که کمترین تماس را با دندان های شما پیدا کند.
آب معدنی احتمال آسیب به دندان ها
آیا آب معدنی بهتر از آب شیر است؟ وقتی بحث دندان پیش می آید باید بگوییم نه! مشکل در پروسه خالص سازی این آب هاست که منجر به اسیدی شدن آنها می شود. اسید در دندان موجب کرم خوردگی می شود.
نوشیدنی های شیرین مخصوص بعد ورزش اثر اسیدی بر دندان:
حتی اگر نوشیدنی های ورزشی سالم باشد، از شکر و انواع اسیدها ساخته می شوند و پتانسیل حفره ها و فرسایش بسیار افزایش می یابد. مطالعه اثر فرسایش نوشیدنی های اسیدی بر روی دندان، نوشیدنی های ورزشی را به عنوان نوشیدنی های فشرده تری از این گروه می شناسند. و این رقابت با نوشابع و نوشیدنی های انرژی زا است که در میان نوشیدنی های اسیدی موجود است.
نوشیدنی های انرژی زا فرسایش دندان:
همان مطالعه در بالا، نوشیدنی های انرژی زا را به عنوان نوشیدنی های بیشتر اسیدی در مقایسه با نوشیدنی های ورزشی، سودا و آب 100٪ اسیدی و دومین فرسایش دهنده (دوم تنها بین نوشیدنی های ورزشی) معرفی می کند.
بنابراین هشدار می دهیم که علاوه بر موارد بالا، نوشیدنی های انرژی زا نیز به خوبی می توانند به رشد بیماری دهان کمک کنند.
عوارض قهوه برای دندان:
اینکه چقدر بیرحمانه قهوه دندان هایتان را لکه دار می کند، بر شما روشن شده است و لکه های قهوه یکی از بدترین ها برای دندان های شما هستند ،زیرا بسیار مقاوم هستند. علاوه بر این، قهوه هم دهان شما را خشک و دندان ها را چسبنده می کند.
اگر به قهوه شکر اضافه نمایید بدتر می شود، زیرا دندان های شما از قهوه بدون شکر کمی کمتر آسیب میبینند.اگر تمام اینها که گفتیم کافی نیست، باید خاطر نشان کنیم قهوه نیز نوشیدنی اسیدی است، که ما می دانیم مینای دندان را می پوشاند.
البته ما انتظار نداریم که شما نوشیدن نوشیدنی مورد علاقه خود را متوقف کنید، اما برای به حداقل رساندن آسیب لطفا بعد از آن مقدار زیادی آب بنوشید و از مواد افزودنی مانند شکر اجتناب کنید.
آدامس های نعناعی دارای شکر و مضر برای دندان
شاید پس از خوردن یک آدامس نعناعی احساس تمیزی در دندان های خود بکنید اما واقعیت چیز دیگری است: جویدن آدامس های نعناعی مثل این است که دندان های خود را در شکر خیسانده اید. سعی کنید از آدامس های بدون شکر همچون زایلیتول استفاده کنید که با باکتری های دهانی نیز مبارزه می کنند.
شکلات جویدنی موجب پلاک دندانی می شود
منع دندانپزشک ها برای جویدن تافی و کارامل خیلی عجیب نیست. شکلات های جویدنی لای دندان و لثه گیر می کنند و موجب ایجاد پلاک می شوند. بعلاوه، خوردن شکلات در موقع نامناسب باعث از بین رفتن دندان نیز می شود. اگر خیلی خوردن شکلات را دوست دارید بهتر است از انواع شکلات تلخ استفاده کنید که ضرر بسیار کمتری دارند.
کره بادام زمینی و مارمالاد آسیب به دندان
کره بادام زمینی و مارمالاد هر دو حاوی مقادیر زیادی شکر هستند. یعنی با گاز زدن هر لقمه ای که حاوی این مواد است، باکتری های پوساننده مینای دندان وارد عمل می شوند. و از آنجا که هر دو این مواد چسبناک هستند، باعث می شوند باکتری ها به دندان های شما بچسبند و بیشتر به آنها آسیب برسانند.
چیپس سیب زمینی موجب پوسیدگی دندان
شاید خوردن این چیپس به سادگی گاز زدن هوا باشد اما تکه های این ورقه های شور و برشته به دندان می چسبند و برای مدت طولانی در دهان باقی می مانند. این تکه های باقی مانده لای دندان ها، باکتری های تولید کننده اسید در مبارزه با چیپس زیاده روی می کنند و در انتها به کرم خوردگی و خراب شدن دندان منجر می شوند. اگر خوردن چیس را همچنان ادامه دهید، اسیدهای بیشتری تولید و دندان های بیشتری آسیب می بینند.
لیموناد آسیب دندان
یک لیوان لیموناد با اینکه جان انسان را تازه می کند اما اسید موجود در لیمو باعث آسیب دیدن دندان ها می شود. لیموناد ترکیبی از شکر و لیمو است که هر دو برای دندان ضرر دارند. حتی اضافه کردن تکه های لیمو به آب نیز می تواند همین خطر را در بر داشته باشد.
پاپ کورن احتمال ترک یا شکستن دندان
خوراکی دوست داشتنی سینما نیز در فهرست مواد خطرناک برای دندان وجود دارد. پففیل در میان دندان ها باقی می ماند و باعث رشد و پرورش باکتری های مضر می شود. دانه های شکوفه نکرده که از همه بدتر هستند زیرا بدون اینکه متوجه باشیم این دانه های سفت را گاز می زنیم و ممکن است باعث ترک خوردن یا شکستن دندان بشود.
میوه های خشک
اصولا تنقلاتی همچون انجیر، کشمش یا زردآلوی خشک شده مملو از شکر و فیبرهای سلولوزی غیر قابل حل شدن هستند که همچون جویدن تافی، شکرها را در اطراف دندان جمع می کنند. بهتر است همیشه از میوه های تازه استفاده کنید.
نان سفید لای دندان می ماند
بهتر است برای سلامت دندان خود از خوردن نان های سفید همچون نان ساندویجی خودداری کنید. کربوهیدرات موجود در این نان ها در آب حل می شوند و منجر به ترشح اسید می شود که باعث از بین رفتن مینای دندان می شود. بعلاوه، نان سفید خاصیت چسبندگی نیز دارد و ممکن است لای دندان ها باقی بماند.
سرکه موجب خراب شدن دندان
سرکه در بسیاری از چاشنی ها همچون سس سالاد، ترشی و سس ها وجود دارد. اما این ماده غذایی ترش و خوش مزه باعث خراب شدن دندان ها می شود. در مطالعات اخیر مشخص شده است، نوجوان های که غذاهای مملو از سرکه زیاد مصرف می کنند تا 85 درصد بیشتر از بقیه در معرض پوسیدگی مینای دندان قرار دارند. کاهو با آسیبی که سرکه به دندان ها می رساند، مبارزه می کند بنابراین سرکه بالزامیک را روی سالاد خود بریزید و بدون هیچ نگرانی میل کنید.
چای سیاه لکه دار شدن دندان
چای سیاه بسیار بهتر از قهوه است که موجب رنگ دادن به دندان ها می شود. اما ثابت شده است، تانین موجود در چای نیز موجب لکه دار شدن دندان ها می شود. برای جلوگیری از این اشکال بهتر است از چای های سبز یا گیاهی استفاده کنید.
کمپوت خراب شدن دندان
بیشتر میوه ها خودشان به اندازه کافی شیرین هستند اما تولیدکننده ها کمپوت، مقدار زیادی شکر به آنها اضافه می کنند. مرکبات کنسرو شده داخل شربت غلیظ بدترین خوراکی برای دندان ها هستند. زیرا آنها مملو از اسید و شکر به طور یکجا هستند که هر دو باعث خراب شدن دندان ها می شوند.








