مشکلات دهانی و دندانی که ارتودنسی ممکن است ایجاد کند چیست
پزشکی و سلامت › دهان و دندان
- 97/10/16
خطای درمان کننده به دلیل ارتودنسی
اگر فرد درمان کننده در این حیطه تخصص نداشته باشد، امکان بروز خطا در مرحله تشخیص، طرح درمان، انجام درمان و نگهداری نتایج درمان وجود دارد. متاسفانه این خطاها شایع ترین و غیرقابل جبران ترین مشکلاتی هستند که در درمان های ارتودنسی در جامعه دیده می شوند . این خطا ها عمدتا مربوط به عدم توانایی در برآورده کردن انتظارات بیمار، کشیدن نادرست دندان، به هم زدن نیمرخ بیمار، تبدیل کردن بیماری که با ارتودنسی قادر به بهبود وضعیت بوده،به بیماری که نیاز به جراحی فک دارد، پوسیدگی دندان به دلیل عدم توانایی در کنترل بهداشت دهان بیمار و بیماری های لثه و کوتاه شدن ریشه دندان ها به دلیل اعمال نیروی نامناسب است.
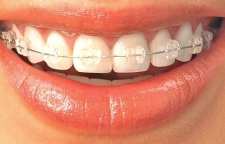
خطر پوسیدگی و بیماری های لثه به دلیل ارتودنسی
با وجود وسایل ارتودنسی در دهان، امکان گیرکردن مواد غذایی در اطراف وسایل ارتودنسی بیشتر شده و به تعداد پناهگاه های باکتری ها افزوده می شود، بنابراین بهداشت دهان و دندان اهمیت بسیار زیادی دارد.عدم رعایت صحیح بهداشت دهان و دندان که شامل استفاده از مسواک، نخ دندان و برس بین دندانی برای بیماران ارتودنسی است،می تواند باعث بروز پوسیدگی دندان، ناراحتی لثه یا تغییررنگ دندان ها شود. اکثر افراد به اشتباه براین باورند که تورم لثه، برجاگذاشتن لک و رنگ روی دندانها و یا آسیب به مینای دندان و پوسیدگی دندان از عوارض ارتودنسی است حال آنکه عوارض مذکور فقط در بیماران با بهداشت ضعیف ایجاد می گردد و نتیجه مستقیم درمان ارتودنسی نیست. بدیهی است که مسواک زدن ناکافی و عجله ای نمی تواند پلاک میکروبی را حذف نماید که به تبع آن باید انتظار بروز چنین مشکلاتی را داشت.
تحلیل ریشه با انجام ارتودنسی
به معنای کوتاه شدن ریشه های دندان می باشد. برخی از بیماران ارتودنسی به طور ژنتیک مستعد تحلیل ریشه هستند در حالی که اکثر بیماران مشکلی در این خصوص ندارند.
درد فک
تحقیقات متعدد نشان داده که ارتباطی بین درمان ارتودنسی و ایجاد یا رفع مشکلات فکی وجود ندارد. در بیمارانی که ابتدای درمان دارای مشکلات فکی هستند درمان ارتودنسی صحیح میتواند باعث بهبود مشکلات فکی شود ولی تنها عامل نیست و ممکن است نیاز به درمانهای تکمیلی داشته باشد.
تحلیل رفتن مینای دندان با ارتودنسی
آن گروه از بیمارانی که در بازه سنی بیست تا سی سالگی به مدت دو تا سه سال شبها از پلاک نگهدارنده استفاده کردهاند و پس از آن برای دو هفته متمادی نگهدارندهها را محکم کردهاند با ساییدگی مینای دندانهای پیشین از خط لثه به پایین تا موازات خطی مواجه میشوند که لبه بالای وسیله ارتودنسی در آن محل، به پهنای تقریبی ۲ میلیمتر به دندان فشار آورده است.
اورژانس های حین درمان ارتودنسی
اگرچه اورژانسهای واقعی در ارتودنسی بسیار نادر هستند ولی در طی دوره درمانی ممکن است شما با براکتهای لق شده یا شکسته مواجه شوید یا امکان دارد سیمهای ارتودنسی بر روی قوس دندانی بچرخند و باعث تحریک و آزار بافت لب یا گونه شما شوند. اگر بیمار با مشکلی روبرو شود که نتواند آن را در منزل برطرف کند باید با مطب متخصص ارتودنسی تماس بگیرد. تیم ارتودنسی قادر است تا با راهنمایی های لازم، به بیمار در حل مشکل ارتودنسی کمک کند. در صورت مؤثر نبودن این روش، باید زمان مناسبی برای ویزیت تعیین گردد و مشکل در مطب برطرف شود. مشاهده ویدیوهای آموزشی در وبسایت مطب نیز به حل مشکلات ارتودنسی کمک خواهد کرد.
اورژانس درمانی برای مشکل براکت لق شده
ممکن است بیمار با براکت شکسته یا لق شده مواجه گردد. این مشکل اغلب در اثر بازی کردن با دستگاه ارتودنسی یا خوردن غذاهای سخت یا چسبنده ایجاد می شود.
این مساله عموما یک اورژانس ارتودنسی محسوب نمی گردد مگر اینکه با درد و ناراحتی همراه باشد. اگر براکت به سیم ارتودنسی همچنان متصل است آنرا به حال خود رها کنید و فقط در صورت نیاز روی آنرا با موم مخصوص ارتودنسی بپوشانید. اگر براکت کاملا خارج شده است آنرا در اولین ویزیت به مطب ارتودنسی ببرید. از تماس کشها و دستگاههای ارتودنسی خارج دهانی با براکت لق شده اجتناب کنید. با مطب تماس بگیرید تا یک جلسه جهت چسباندن براکت تعیین نمایند.
اورژانس درمانی برای مشکل ناراحتی و حساسیت دندان ها
ممکن است دندانها پس از جلسه فعال سازی دستگاه ارتودنسی اندکی دردناک شوند، این ناراحتی اغلب منحصر به ۲۴ تا ۷۲ ساعت اول است و پس از آن دندانها خودبخود و بتدریج بهبود می یابند. مصرف یک رژیم غذایی نرم کمک کننده خواهد بود. در صورت نیاز می توانید از مسکن های ملایم استفاده کنید.
اورژانس درمانی برای مشکل زخم داخل دهان ناشی از ارتودنسی
در طی هفته های نخست درمان ارتودنسی ثابت، شما ممکن است با آزردگی یا زخمهایی بر روی مخاط دهان بویژه سطح داخلی لب یا گونه مواجه شوید زیرا این بافتها آمادگی لازم برای مواجهه و تطابق با براکتهای ارتودنسی را ندارند. در اثر گذشت زمان این بافتها به تدریج مقاومتر خواهند شد و پس از آن دیگر زخمی در داخل دهان ایجاد نمی شود. برای تسکین و کاهش تماس مخاط دهان با سطوح براکتها می توانید به میزان اندکی موم ارتودنسی یا پنبه بر روی براکتها در ناحیه مجاور زخم قرار دهید و با این کار تحریک بافت نرم لب و گونه را کاهش دهید. ظرف چند روز آزردگی کاهش یافته و معمولا پس از یک هفته زخم کاملا بهبود می یابد. باید از مصرف مواد غذایی محرک مانند غذاهای تند یا ترش اجتناب نمایید. کاربرد دهانشویه “ضد آفت” نیز به علت داشتن مواد بی حس کننده و نیز ایجاد پوشش بر روی زخمهای دهانی ، بویژه قبل از صرف غذا کمک کننده است.
اگر با این روشها زخم بهبود نیافت یا بدتر شد با مطب متخصص ارتودنسی تماس بگیرید.
اورژانس درمانی برای مشکل خارج شدن انتهای سیم ارتودنسی
برخی از سیمهای ارتودنسی بویژه در مراحل اولیه درمان بسیار انعطاف پذیر هستند و این امکان وجود دارد که از روی براکت (نگین) های ارتودنسی بلغزند و خارج شوند. با رعایت رژیم غذایی توصیه شده توسط متخصص ارتودنسی، احتمال بروز این مشکل به حداقل خواهد رسید. اگر انتهای سیم از داخل دستگاه خارج شد سعی کنید با یک پنس یا موچین، سیم را به محل قبلی خود برگردانید. در صورت ضرورت، یک قطعه موم ارتودنسی بر روی سیم قرار داده و با مطب تخصصی ارتودنسی تماس بگیرید.
اورژانس درمانی برای مشکل بیرون زدن سیم لیگاچور
گاهی سیمهای فلزی نرم و نازک (سیم لیگاچور) برای بستن سیم اصلی ارتودنسی بر روی براکتها بکار می رود. ممکن است طی غذا خوردن یا مسواک زدن این سیمهای فلزی به صورت اتفاقی تغییر شکل داده و انتهای آن بیرون بیاید و در نتیجه باعث آزردگی لب یا گونه شود. شما می توانید سیم بیرون زده را با کمک مدادپاک کن، به جای خود برگردانید.
اورژانس درمانی برای مشکل گم شدن کش دور براکت (O-ring)
اغلب در صورت مفقود شدن یک یا دو عدد از کشهای اطراف براکتها، مشکلی ایجاد نمی گردد و شما می توانید تا جلسه ویزیت بعدی صبر کنید تا کش جایگزین شود. در صورت گم شدن یا درآمدن تعداد بیشتری از کشها، باید با مطب متخصص ارتودنسی برای تعیین وقت تماس بگیرید.








